

تكبير
نتائج حالات
رجوع للخلف
رجوع للخلف
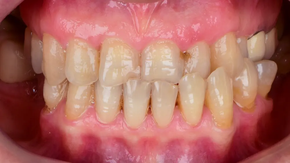
قبل
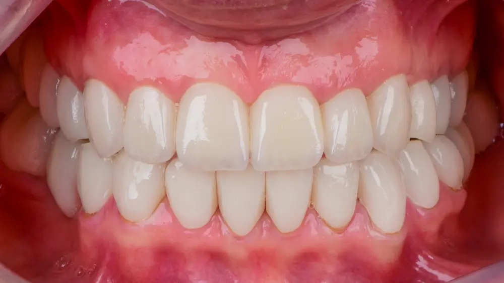
بعد
إبتسامة كلاس
في قسم تصميم الابتسامة نعيد رسم تفاصيل ابتسامتك داخل كلاس باستخدام أحدث تقنيات التجميل الرقمية. نركز على تحقيق توازن طبيعي بين الجمال والوظيفة لنمنحك ابتسامة واثقة تدوم.
30+ إبتسامة سعيدة!


أبرز نتائج المراجعين
البصرة - الطويسة
حالات د. قاسم رحمان
قبل

بعد

قبل

بعد

قبل

بعد

قبل

بعد

قبل

بعد

البصرة - الطويسة
حالات د. يقين حسيب
قبل

بعد

قبل

بعد

قبل

بعد

قبل

بعد

قبل

بعد

قبل

بعد

بغداد - زيونة
حالات د. صالح شويش
قبل

بعد

قبل

بعد

قبل

بعد

قبل

بعد

قبل

بعد

قبل

بعد
