

تكبير
نتائج حالات
رجوع للخلف
رجوع للخلف
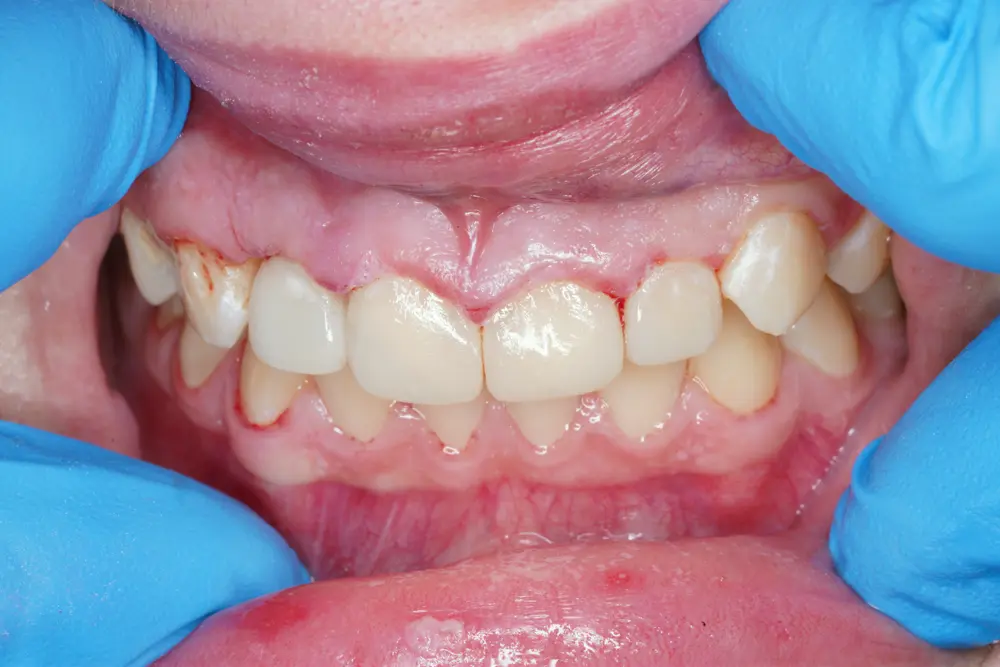
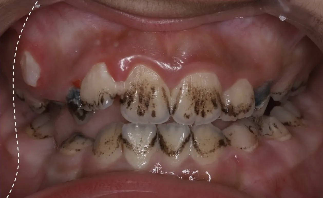
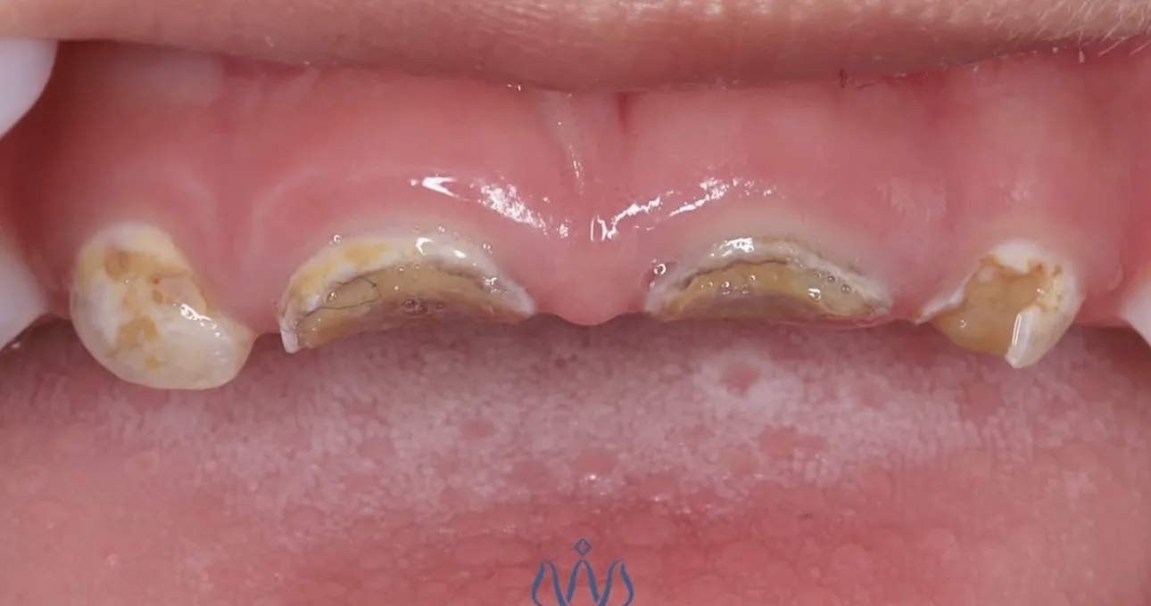
قبل
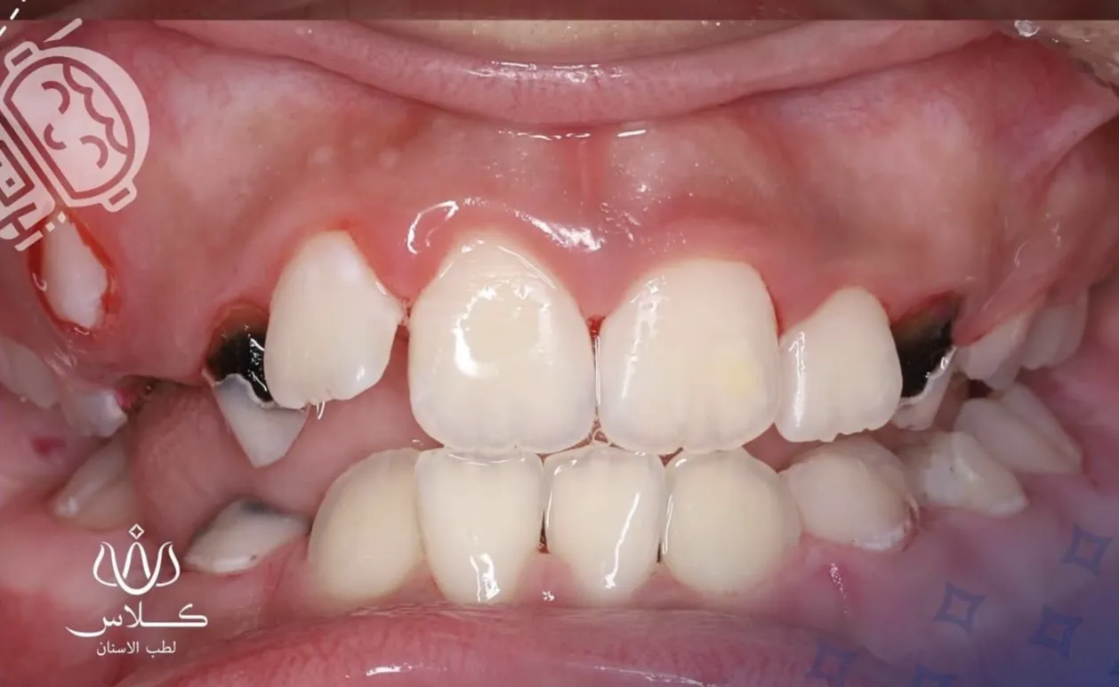
بعد
أطفال كلاس
داخل مركبة الأطفال في كلاس نوفر بيئة آمنة وودية لعلاج الأطفال والحالات الخاصة. يوفر لدينا العلاج بالغاز الضاحك، المهدئ الوريدي، وعلاج أسنان حالات طيف التوحد ومتلازمة داون لضمان تجربة علاج مريحة وآمنة للأطفال.
30+ إبتسامة سعيدة!


أبرز نتائج المراجعين
بغداد - زيونة
حالات د. تمارا صباح
قبل

بعد

قبل

بعد

قبل

بعد

بغداد - زيونة
حالات د. أحمد شكر
قبل

بعد

قبل

بعد

قبل

بعد

البصرة - الطويسة
حالات د. بتول سامي
قبل

بعد

قبل

بعد

قبل

بعد

قبل

بعد

قبل

بعد
