

تكبير
نتائج حالات
رجوع للخلف
رجوع للخلف
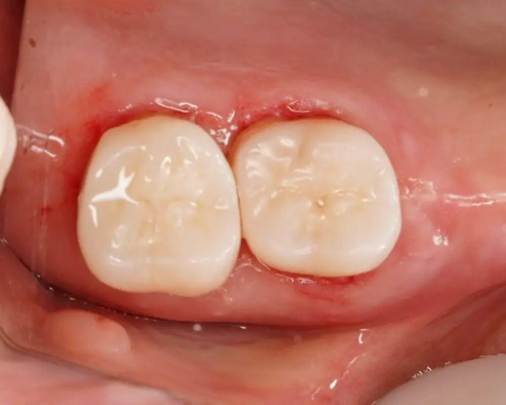
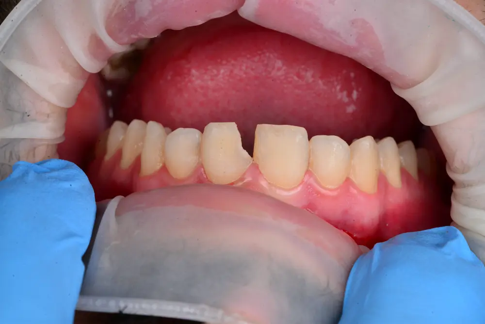
قبل
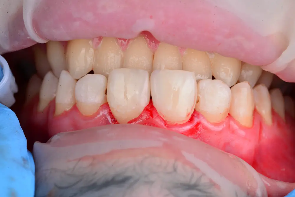
بعد
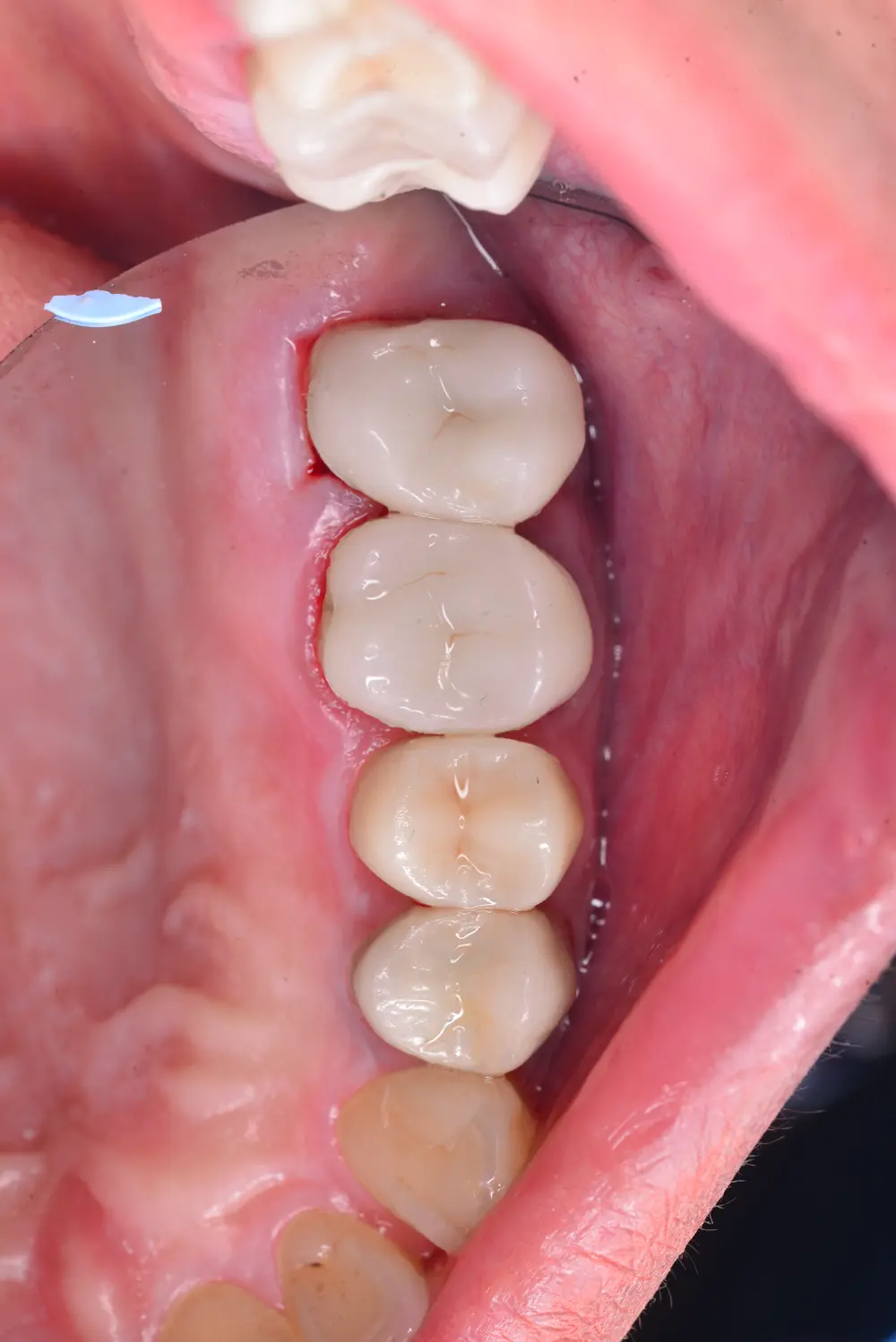
قسم الحشوات التجميلية
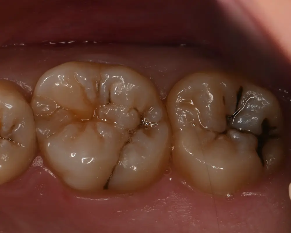
يتم علاج تسوسات الاسنان بحشوات تجميلية أمامية وخلفية على اسس علمية صحيحة و باستخدام مواد متوافقة مع انسجة السن باستخدام جهاز المايكروسكوب لضمان أعلى دقة في التشخيص والعلاج. هدفنا هو استعادة شكل ووظيفة الأسنان بطريقة تحافظ على المظهر الطبيعي للابتسامة
30+ إبتسامة سعيدة!


أبرز نتائج المراجعين
بغداد - زيونة
حالات د. زينب علي
قبل

بعد

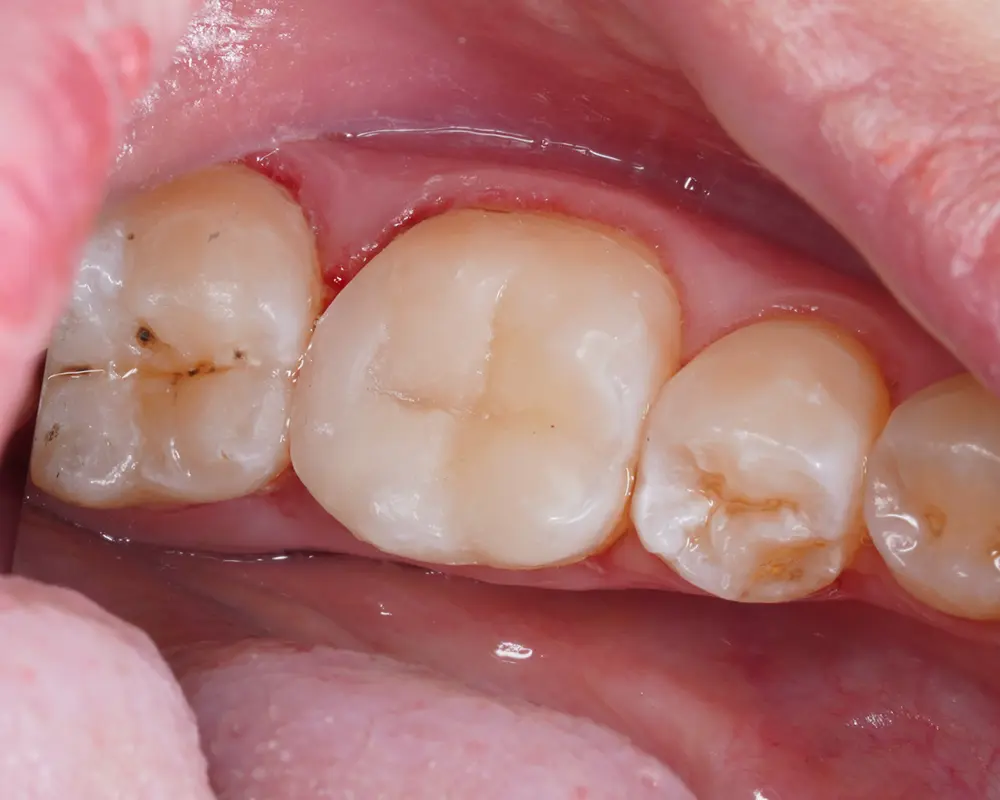
قبل

بعد

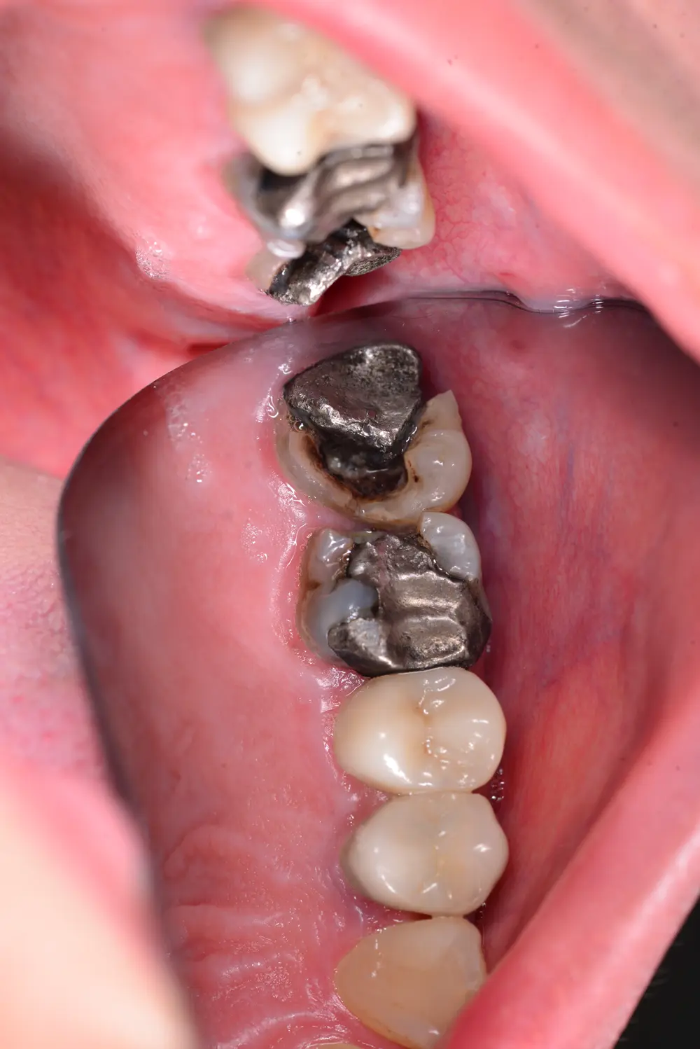
قبل

بعد

قبل

بعد

قبل

بعد

بغداد - زيونة
حالات د. خالد النقيب
قبل

بعد

قبل

بعد

قبل

بعد

قبل

بعد

قبل

بعد

قبل

بعد

بغداد - زيونة
حالات د. عبدالله علي
قبل

بعد

قبل

بعد

قبل

بعد
