

تكبير
نتائج حالات
رجوع للخلف
رجوع للخلف
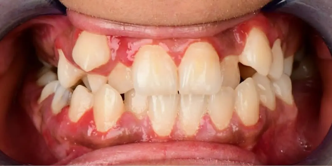
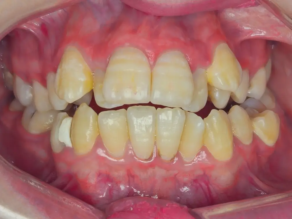
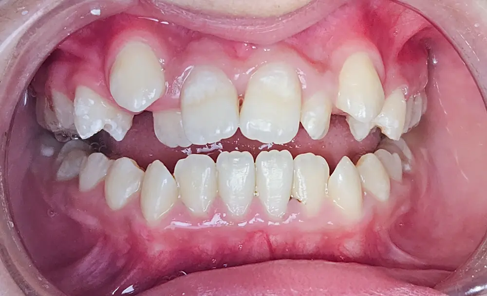
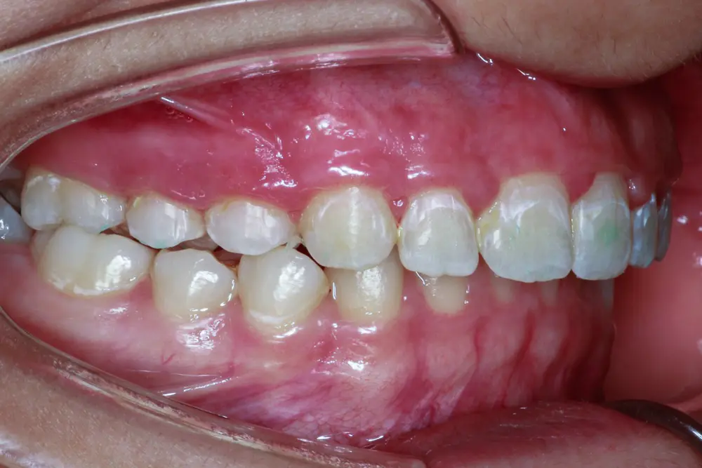
قبل
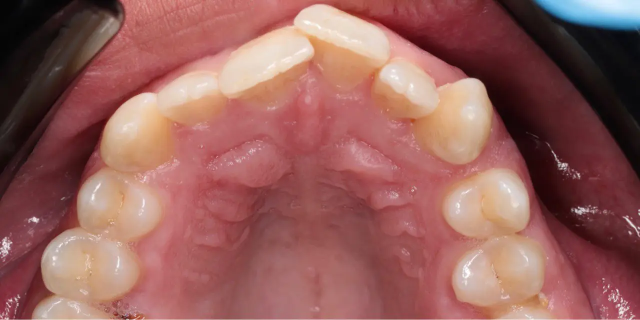
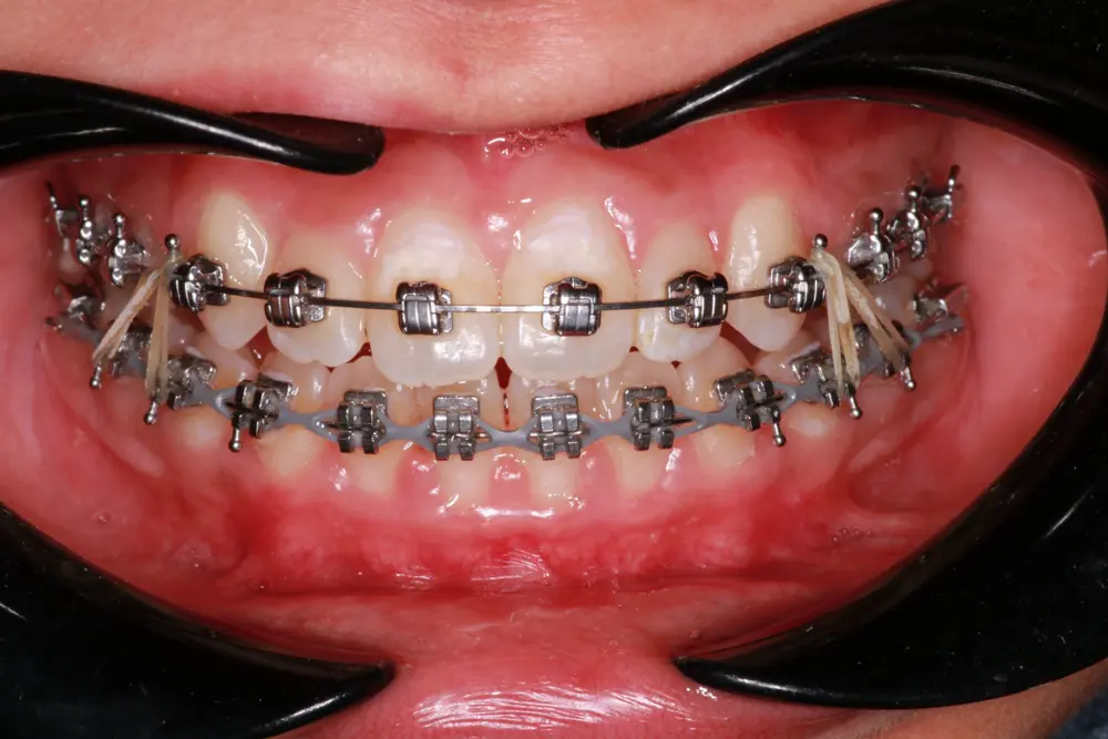
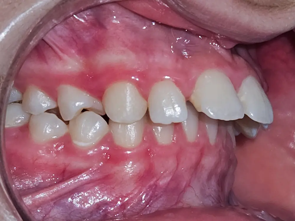
بعد
قسم تقويم الأسنان
قسم التقويم في كلاس هو محطة انطلاق رحلة ابتسامتك داخل مركبة كلاس حيث نوفر خيارات متعددة تناسب كل حالة: التقويم المعدني ، تقويم Damon Ultima الاحدث عالميا، والتقويم الشفاف. نستخدم أحدث التقنيات لضمان علاج دقيق، مريح، ونتائج طبيعية. يقوم قسم التقويم في كلاس حلوةً متكاملة لتعديل ترتيب الأسنان داخل مركبة كلاس حيث نوفر التقويم المعدني للحالات التي تحتاج دقة عالية ونتائج ثابتة. Damon الحديث الذي يساعد على تسريع العلاج و جلسات اقل وغالباً يقلل الحاجة إلى قلع الأسنان مع راحة أكبر. إضافة إلى التقويم الشفاف القابل للإزالة أثناء الأكل والتنظيف اليومي، كخيار مثالي لمن يرغب بعلاج غير ملحوظ يحافظ على راحته في الحياة اليومية
30+ إبتسامة سعيدة!


أبرز نتائج المراجعين
البصرة - الطويسة
حالات د. الاء مسلم
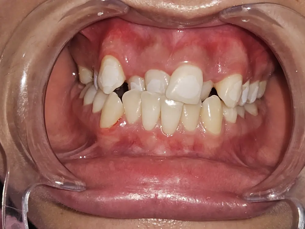
قبل

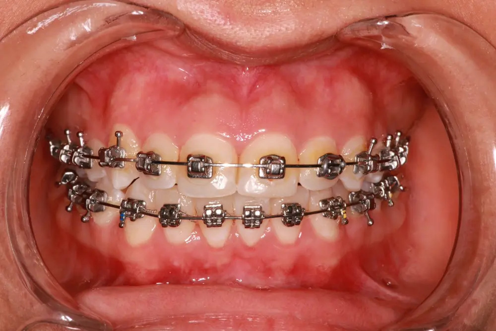
بعد

قبل

بعد

قبل

بعد

بغداد - زيونة
حالات د. مثنى ابراهيم
قبل

بعد

قبل

بعد

قبل

بعد

قبل

بعد

قبل

بعد

قبل

بعد

بغداد - زيونة
حالات د. مازن
قبل

بعد

قبل

بعد

قبل

بعد

قبل

بعد

قبل

بعد

قبل

بعد
