
طبيب الابتسامة
التخصص الدقيق
بغداد - زيونة
الموقع
د. صالح شويش
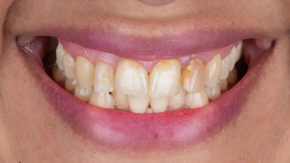
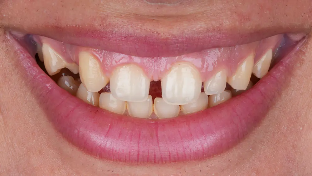
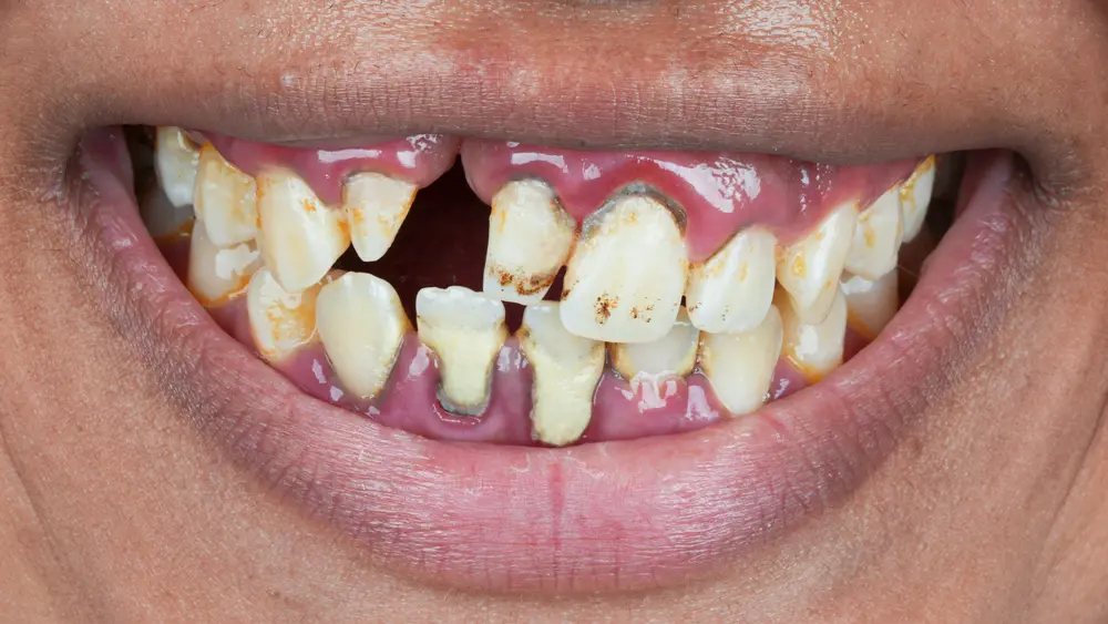
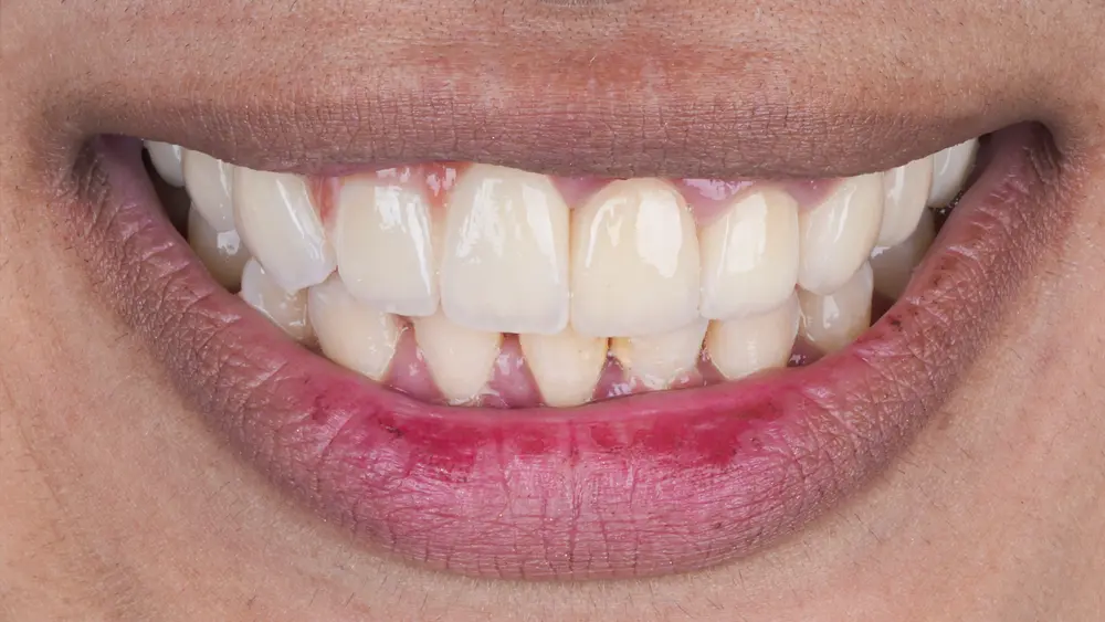
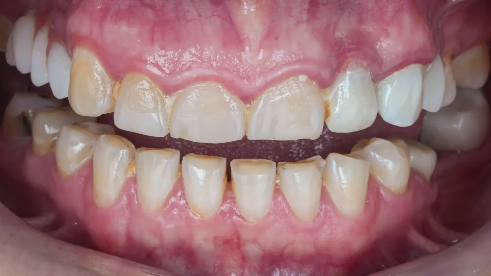
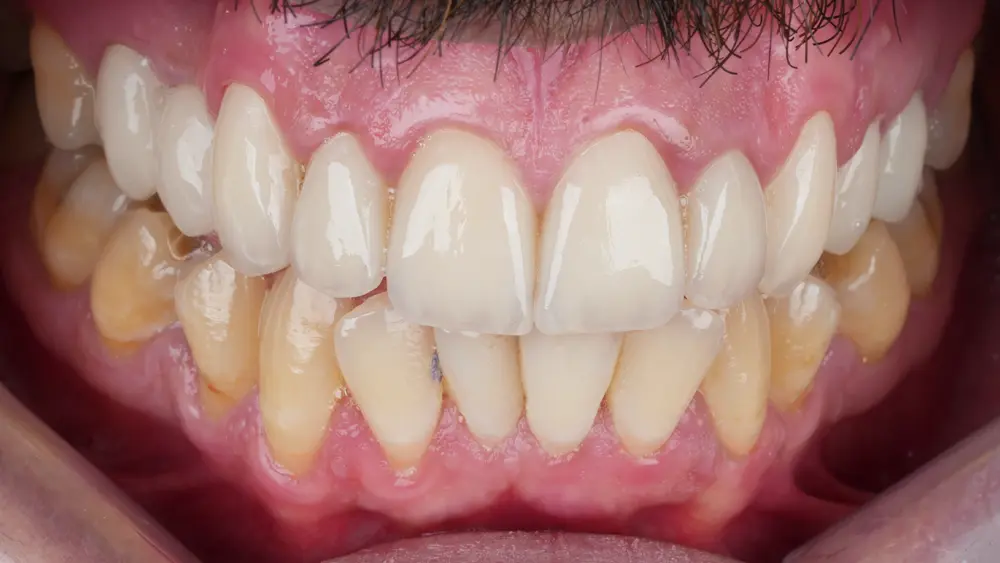
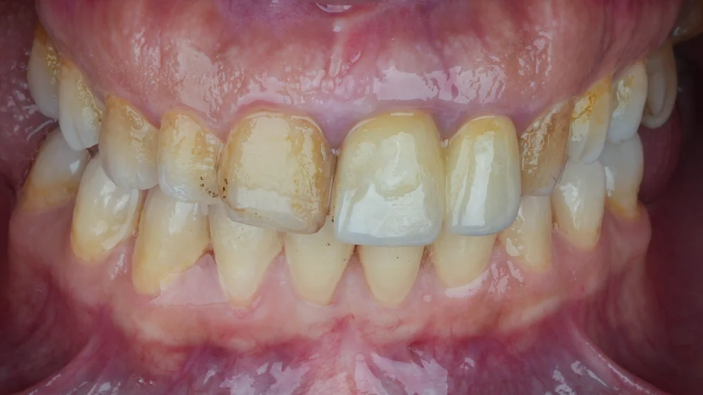
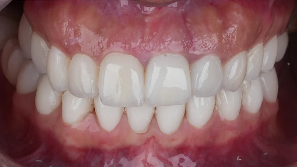
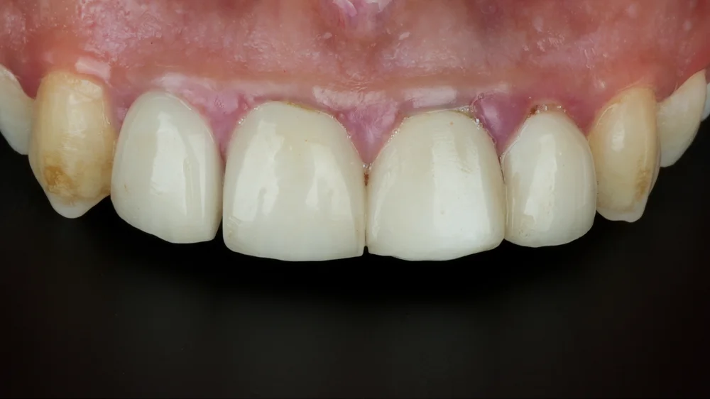
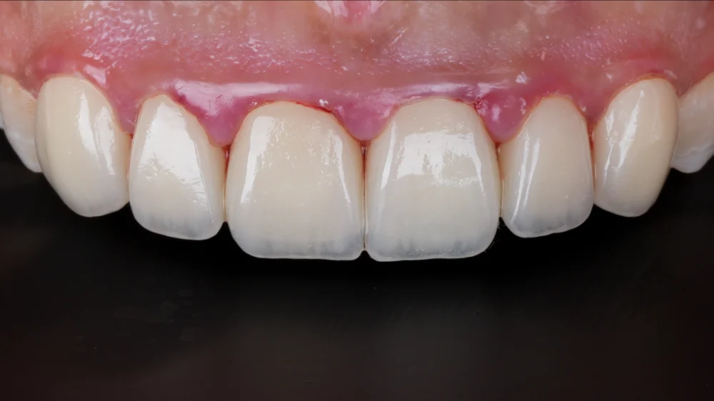
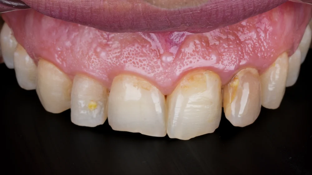
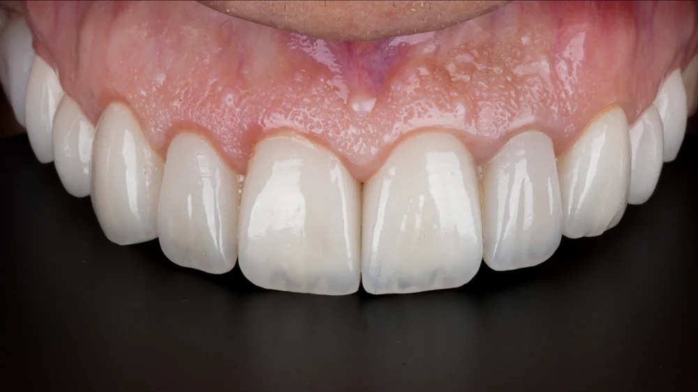
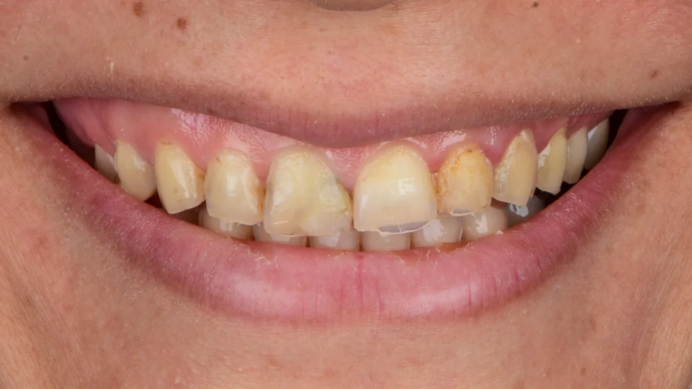
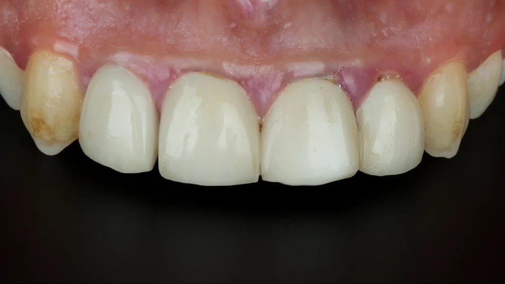
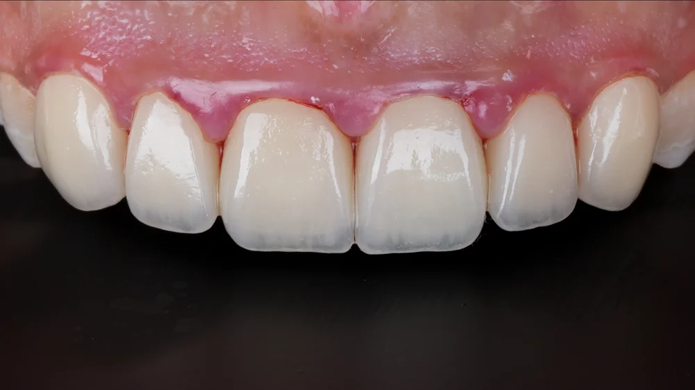
يعمل على رسم الابتسامة بدقة فنية تجمع بين الجمال والانسجام الطبيعي للوجه مع اختيار الحل الأنسب لكل حالة. يقدم مختلف خيارات تصميم الابتسامة مثل الفينير والإيمانكس مع اهتمام كبير بأدق التفاصيل للحصول على نتيجة طبيعية وأبنية. تمتد خبرته من خلال العديد من الحالات الناجحة داخل العراق وخارجه، ما يعكس الثقة بجودة عمله والنتائج التي يقدمها لمرضاه.


تكبير
نتائج حالات د. صالح شويش
رجوع للخلف
رجوع للخلف























































