

تكبير
نتائج حالات
رجوع للخلف
رجوع للخلف
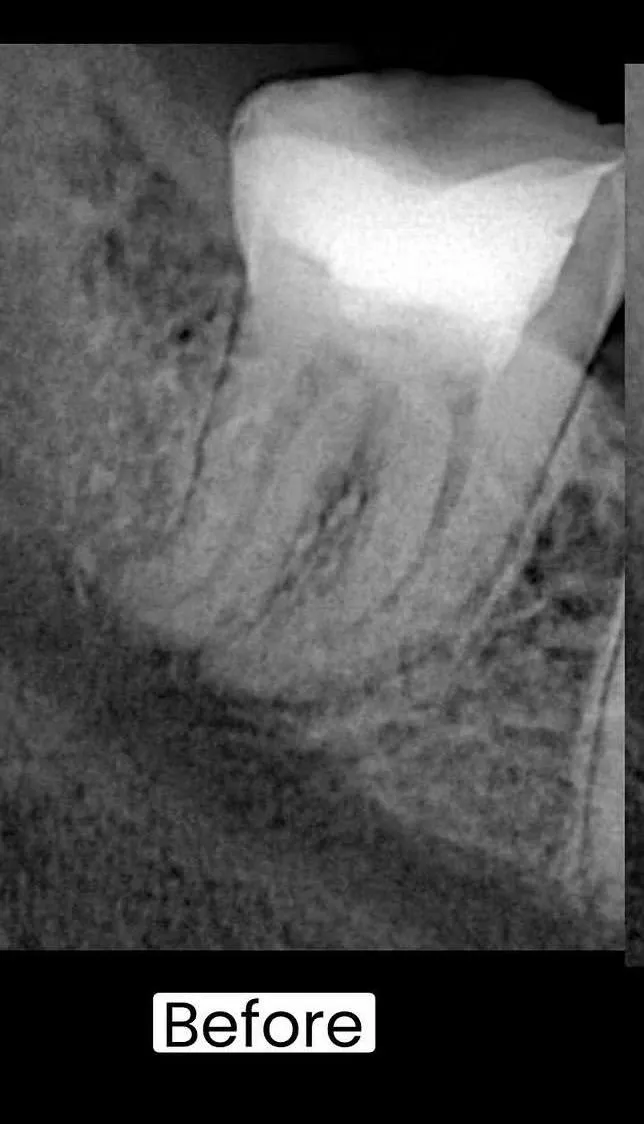
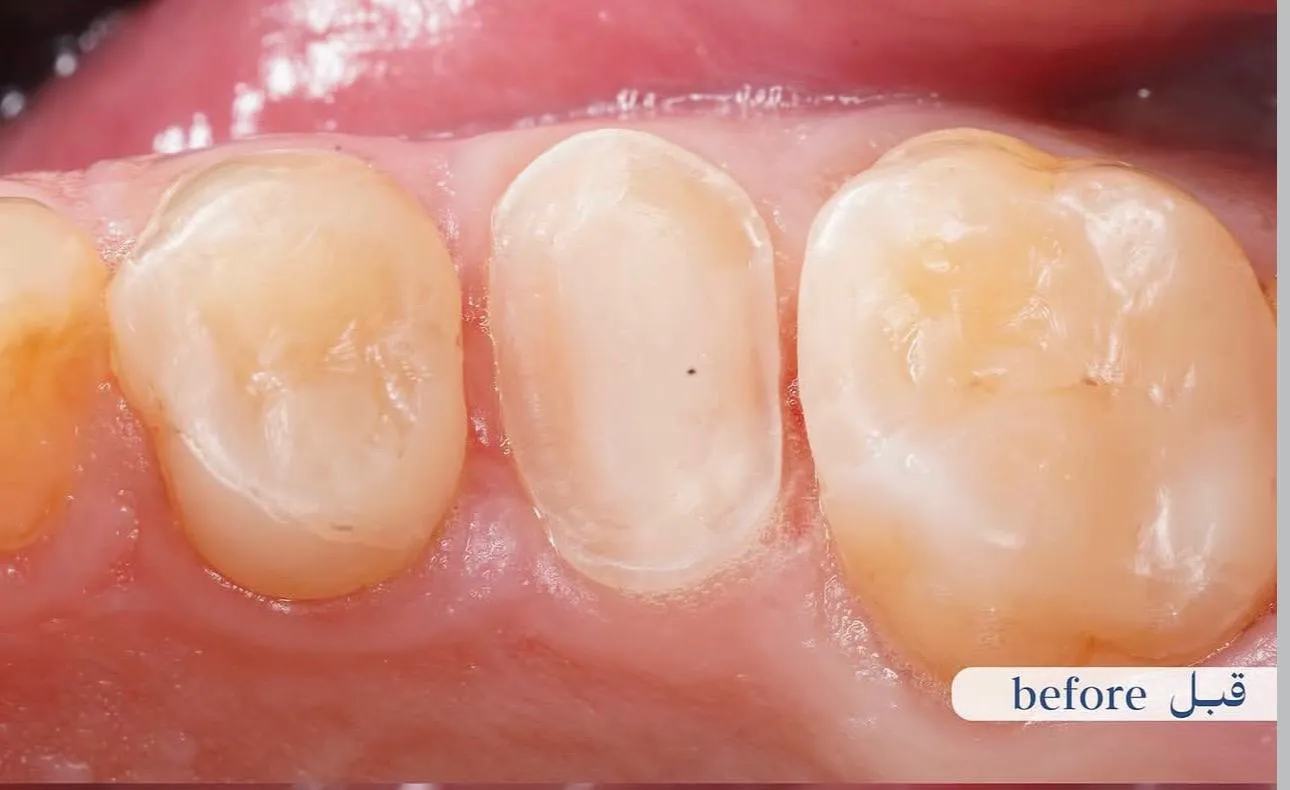
قبل
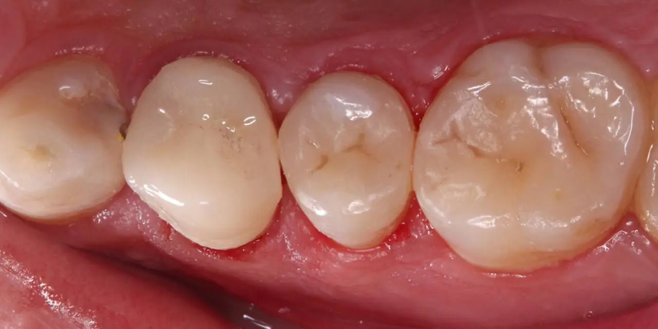
بعد
قسم حشوات الجذور
قسم علاج الجذور في كلاس يعتمد على المايكروسكوب الطبي وأشعة CBCT ثلاثية الأبعاد لتشخيص دقيق وعلاج متقدم نحصر على إنقاذ الأسنان بأعلى درجات الأمان والراحة للمريض.
30+ إبتسامة سعيدة!


أبرز نتائج المراجعين
البصرة - الطويسة
حالات د. ايوب سالم
قبل

بعد

قبل

بعد

قبل

بعد

قبل

بعد

قبل

بعد

البصرة - الطويسة
حالات د. مجتبى محمد
قبل

بعد

قبل

بعد

قبل

بعد

قبل

بعد

قبل

بعد

قبل

بعد
