
قسم الابتسامة واعادة تاهيل الاسنان
التخصص الدقيق
البصرة - الطويسة
الموقع
د. يقين حسيب
مختص بالابتسامة وإعادة تأهيل الأسنان بالكامل، يهتم بإرجاع شكل الأسنان ووظيفتها بشكل متوازن ومريح. يعتمد على خطة علاج متكاملة تراعي جمال الابتسامة وصحة الفم على المدى الطويل


تكبير
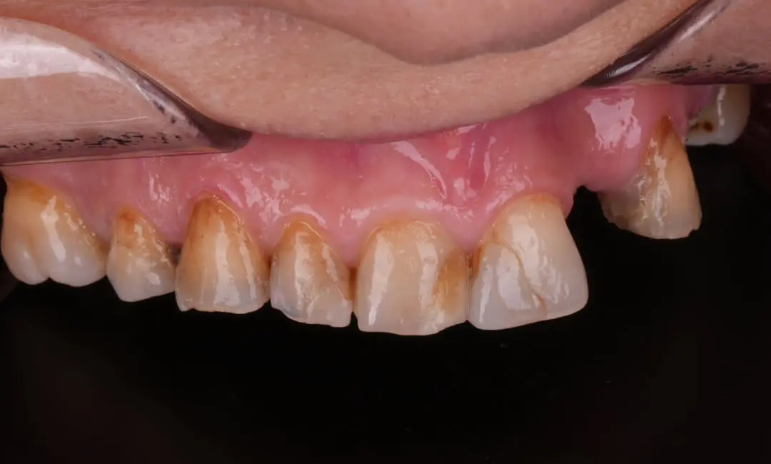
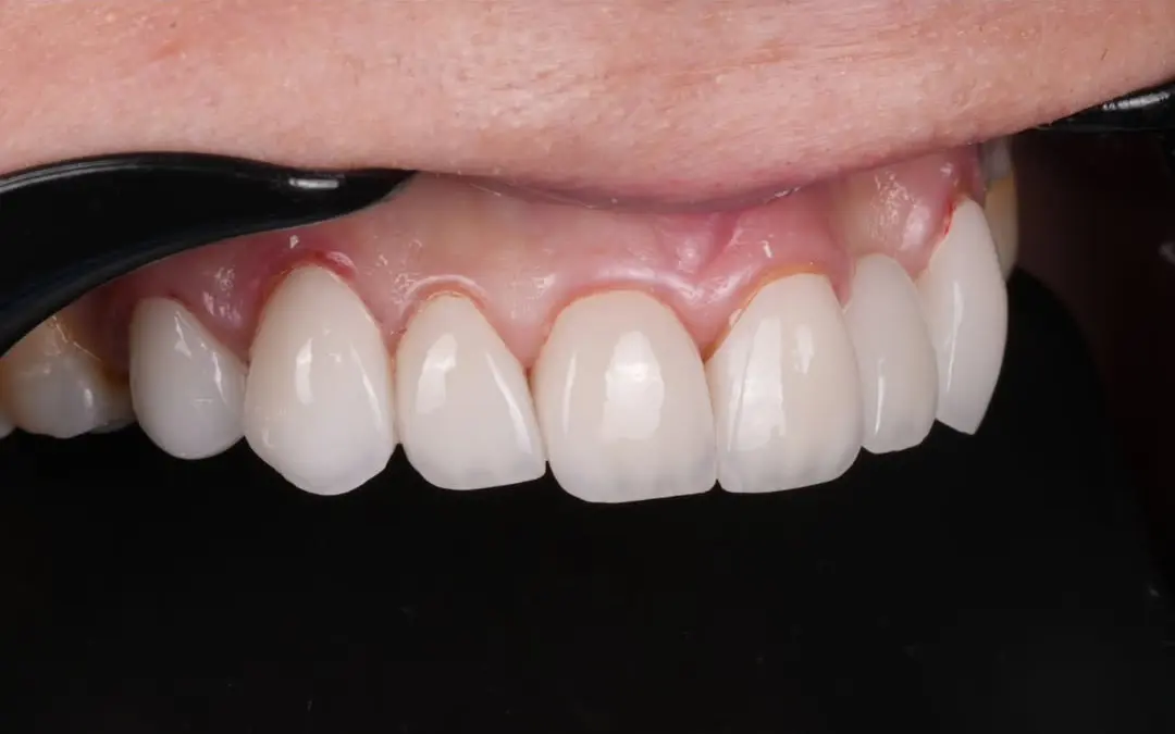
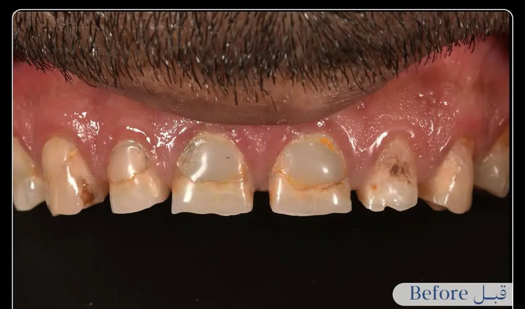
نتائج حالات د. يقين حسيب
رجوع للخلف
رجوع للخلف
قبل
بعد
نتائج المراجعين
ما رأي المراجعين؟
لا توجد آراء
لم يتم الحصول على اراء تخص هذا الطبيب













