

تكبير
نتائج حالات
رجوع للخلف
رجوع للخلف
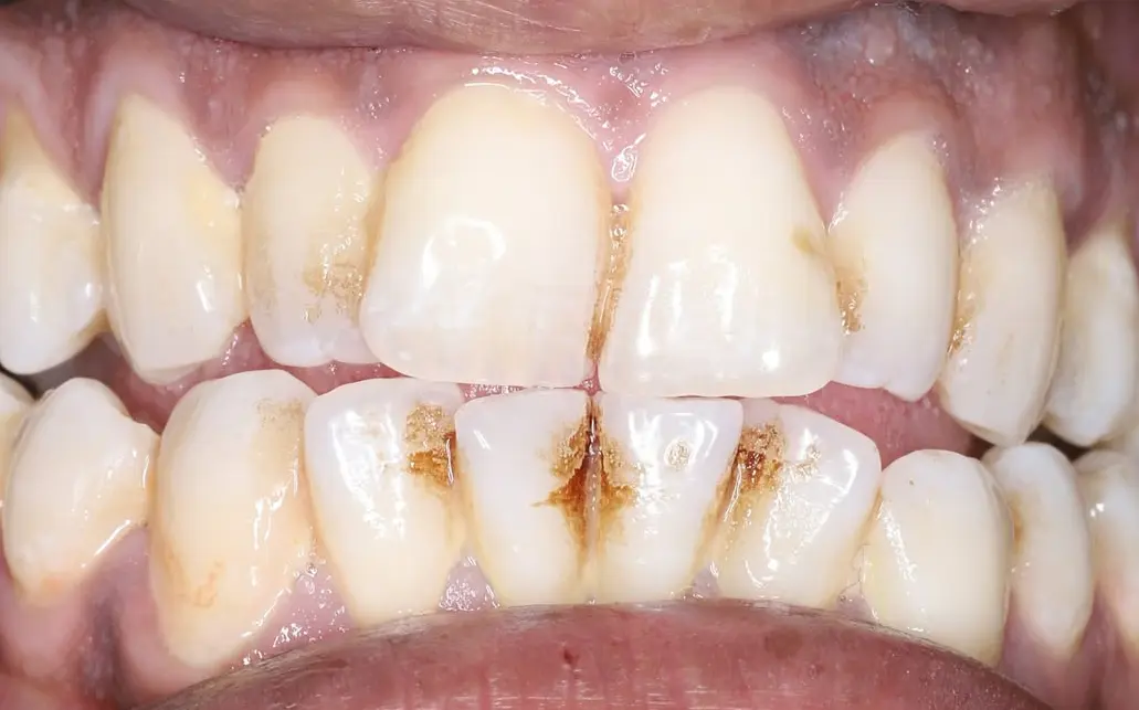
قبل
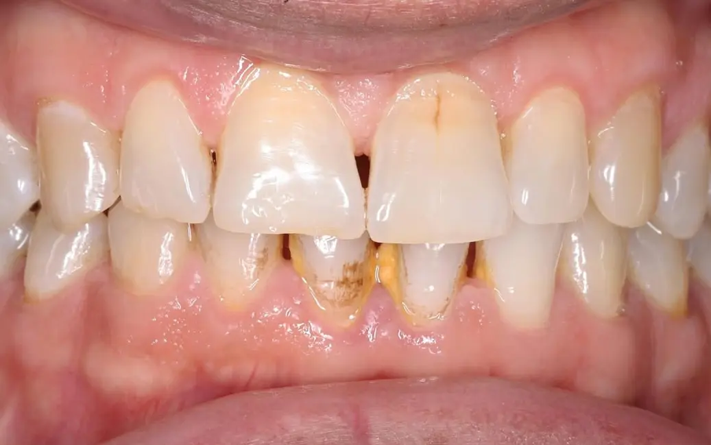
بعد
قسم التنظيف و التبييض
نقدم تنظیفا احترافیا باستخدام جهاز Master Airflow ABC لإزالة التصبغات بلطف وفعالية بدون تحسس او الم ، إضافة إلى تبييض الأسنان بجهاز Zoom الأمريكي للحصول على نتائج فورية وابتسامة أكثر إشراقاً
30+ إبتسامة سعيدة!


أبرز نتائج المراجعين
البصرة - الطويسة
حالات د. زهراء مقداد
قبل

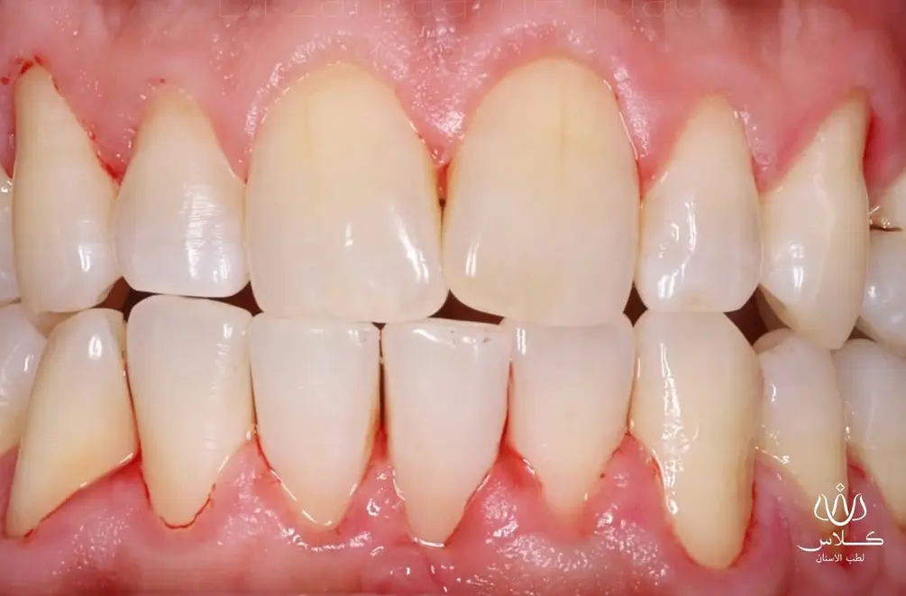
بعد

قبل

بعد

قبل

بعد

قبل

بعد

قبل

بعد

قبل

بعد
