
قسم الفحص و حشوات الجذور
التخصص الدقيق
البصرة - الطويسة
الموقع
د. مجتبى محمد
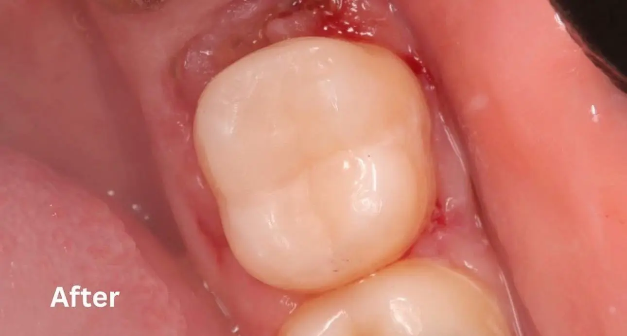
مختص بعلاج جذور الأسنان، يتعامل مع حالات الألم والالتهابات بهدوء ودقة. باستخدام جهاز المايكروسكوب، والذي يساعد على رؤية أدق التفاصيل داخل السن أثناء العلاج. الدقة العالية تساهم في تنظيف أفضل للقنوات الجذرية، تقليل الألم والمضاعفات، وضمان نتيجة أكثر راحة وثبات للمریض


تكبير
نتائج حالات د. مجتبى محمد
رجوع للخلف
رجوع للخلف
قبل
بعد
نتائج المراجعين
ما رأي المراجعين؟
لا توجد آراء
لم يتم الحصول على اراء تخص هذا الطبيب













