
طبيب تقويم الانسان
التخصص الدقيق
بغداد - زيونة
الموقع
د. مازن
ماجستير تقويم الانسان من النمسا, يعمل على معالجة حالات التقويم بمختلف أنواعها من التقويم التقليدي إلى التقويم الشفاف وتقويم Damon مع خبرة في التعامل مع الحالات المعقدة وتحقيق أفضل النتائج الممكنة. يتميز بأسلوبه المريح والممتع أثناء المتابعة ما يجعل رحلة التقويم أسهل وأكثر إيجابية للمراجعين بفضل طريقتهم في التواصل واهتمامه بالتفاصيل بنى علاقة قوية مع مرضاه وأصبح كثير من المراجعين مرتبطين به ويتفقون بمتابعته حتى الوصول إلى الابتسامة المطلوبة.


تكبير
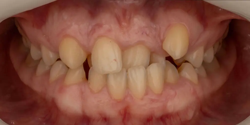
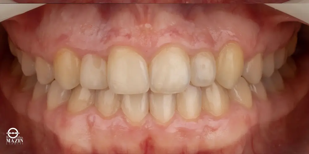
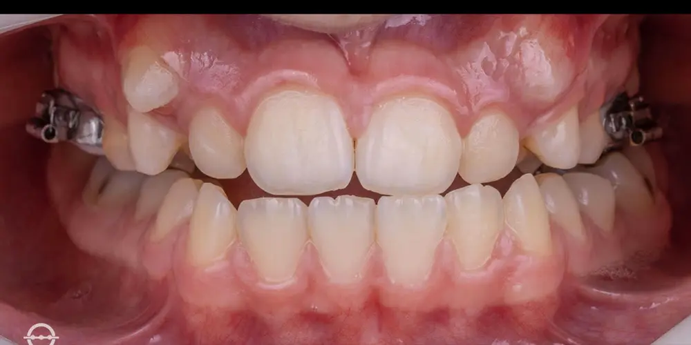
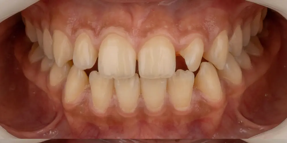
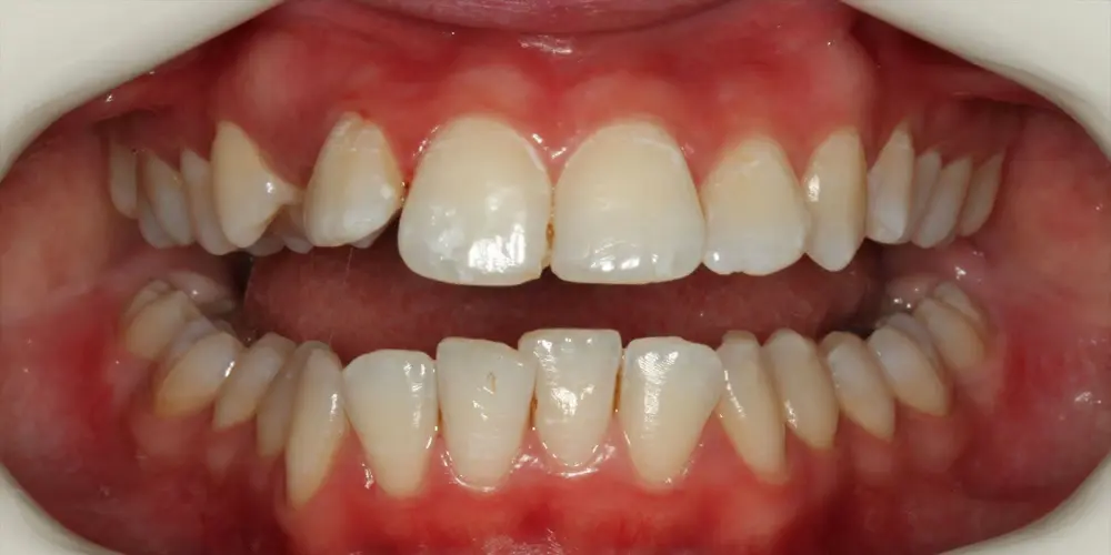
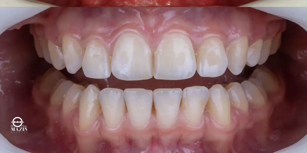
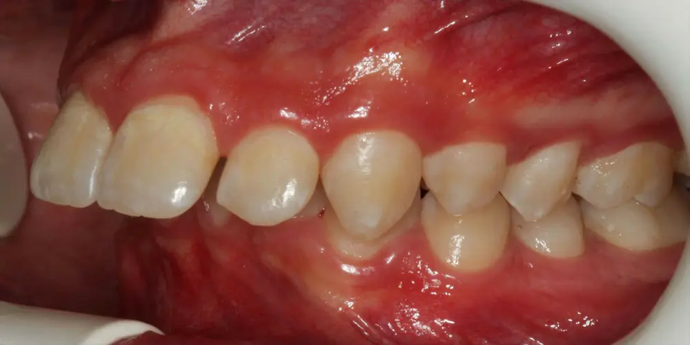
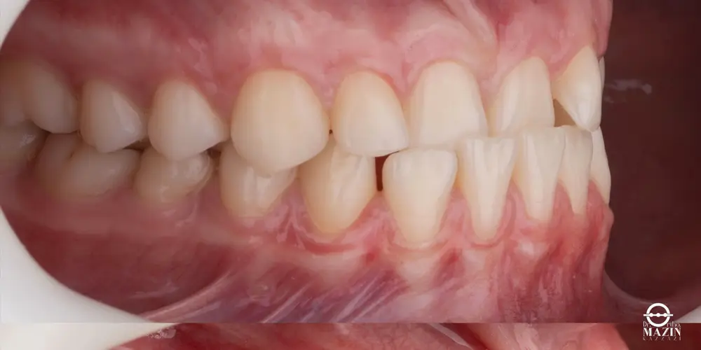
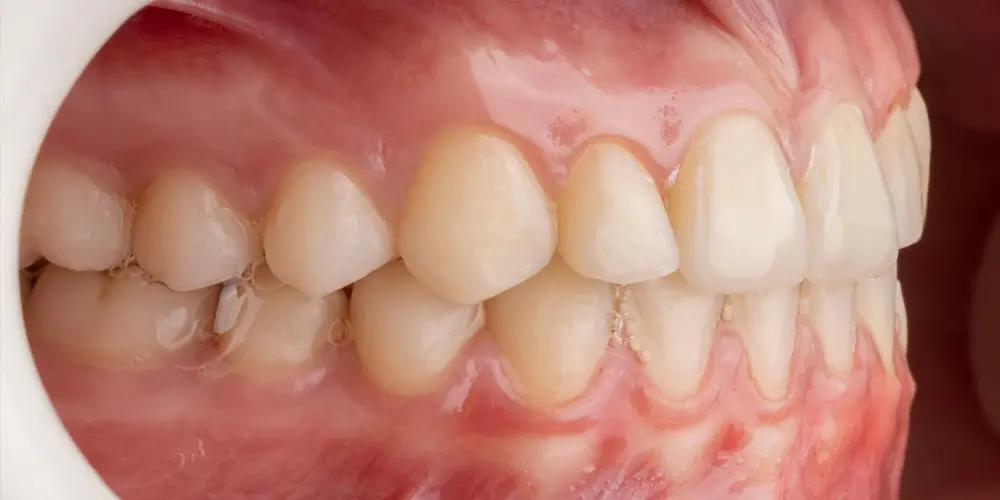
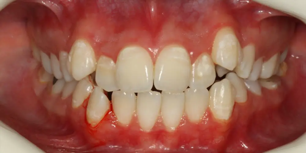
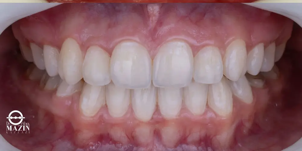
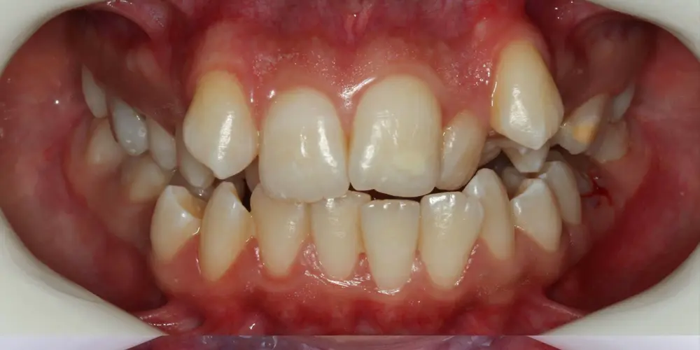
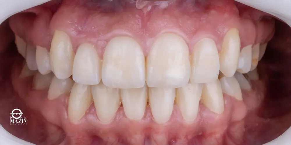
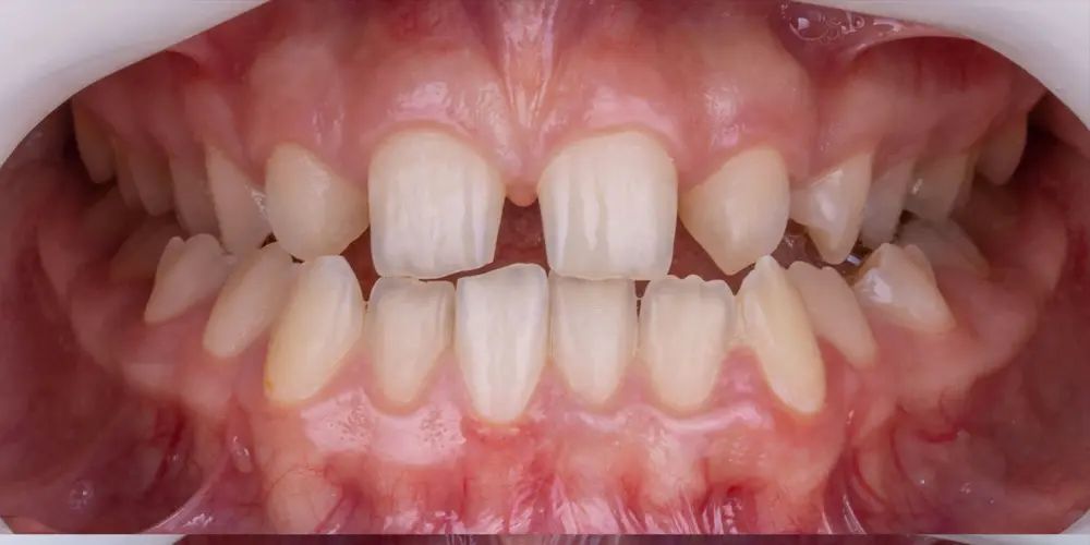
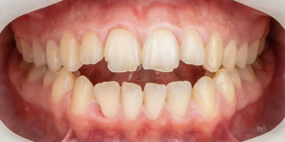
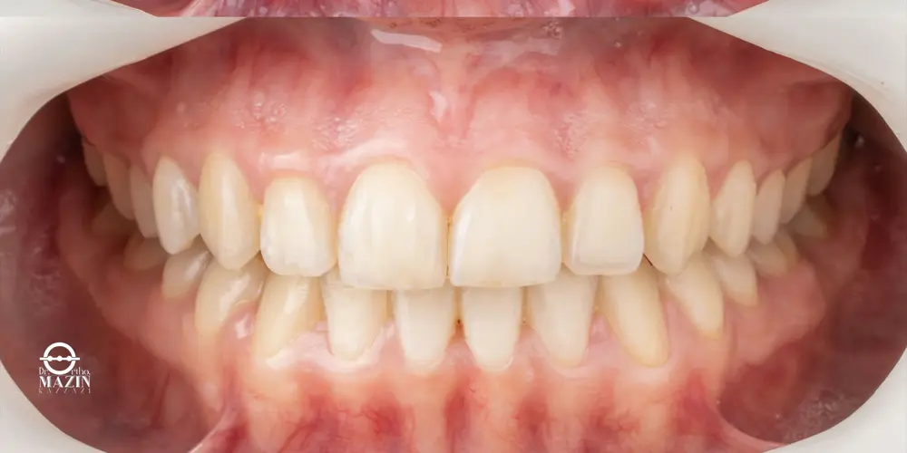
نتائج حالات د. مازن
رجوع للخلف
رجوع للخلف
قبل
بعد
نتائج المراجعين
ما رأي المراجعين؟
لا توجد آراء
لم يتم الحصول على اراء تخص هذا الطبيب



















































































